A PROPÓSITO DE UN CASO: URINÓMA SECUNDARIO A NEFRO CALCINOSIS.
Garcia M., Cesar D.
Universidad Nacional Autónoma de Honduras (UNAH
Urinóma
Los urinómas , o colecciones de líquido urinario , son acumulaciones de orina que suelen encontrarse en el retroperitoneo , más comúnmente en el espacio perirrenal , como consecuencia de fugas del tracto renal causadas por obstrucción urinaria, traumatismo o postinstrumentación.
Presentación de caso:
El día 4 de Julio 2024, durante la guardia nocturna, se presenta un paciente por Cirujano General de Guardia. Quien refiere que el Dolor abdominal de paciente le parece un caso de apendicitis.
Paciente refiere dolor abdominal de 1 mes de evolución, con fluctuaciones temporales, la última se presentó de forma continua por tres días, acompañado de fiebre, escalofríos, diaforesis.Se inspecciona la fosa iliaca derecha sin identificar imágenes típicas compatibles con Apendicitis. Se observa escasa cantidad de liquido libre, sin ecos, septos ni tabiques.
Paciente refiere antecedente de urolitiasis, con colocación de catéter doble JJ, el cual fue retirado hace 3 meses. Como hallazgo principal se observa un riñón derecho, aumentado de tamaño, heterogéneo, a expensa de regiones hiperecogénicas, que proyectan sombra acústica posterior, abarcando calices renales. Dilatación Moderada de pelvis renal. Hallazgo que se encuentra de forma bilateral. Se observa una imagen anecoica, amorfa, que rodea el riñón derecho. Densidad líquida. Esplenomegalia como hallazgo asociado

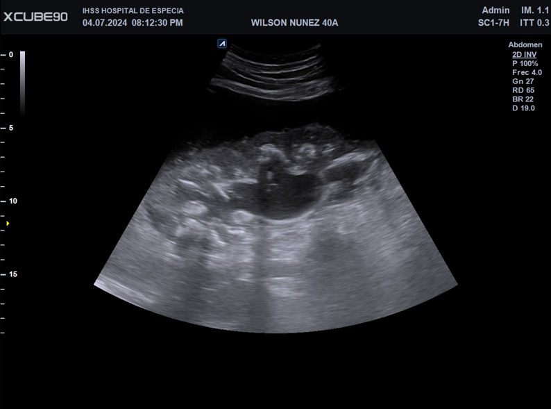
Imagen 1. Corte longitudinal en imagen ecográfica escala 2D de riñón derecho.
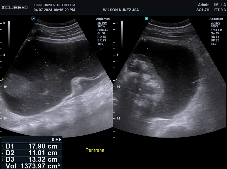
Colección perirrenal heterogénea, sin ecos, septos ni tabiques. Aparenta estar contenida dentro de fascia perirrenal con volumen total aproximado de 1400ml.

Imagen 2. Imagen de ecografía escala 2D donde se muestra colección perirrenal derecha, con escaso ecos móviles.

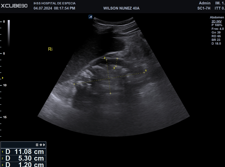
Imagen 3. Imagen de Ecografía escala 2D muestra la dilatación moderada del sistema colector derecho.
Identificando al menos imágenes, hiperecogénicas, ovaladas, de bordes circunscritos, proyectan sombra acústica posterior, avascular al Doppler color. Las cuales miden entre 0.8-1.0cm. 
Imagen 4. Imagen de Ecografía escala 2D, donde se muestra la presencia de litos en pelvis renal y uréter proximal derecho.
Identificando pirámides prominentes hiperecogénicas, proyectando sombra acústica posterior, avascular al Doppler color, hallazgo es consistente de forma bilateral. 
Imagen 5. Imagen ecografía escala 2D donde muestra riñón contralateral, con calcificaciones en pirámides renales, las cuales proyectan sombra acústica posterior.
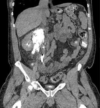
24 horas posterior a ingreso se ordena pielotomografía (no se realiza urotomografía por creatinina de 10mg/dl). 
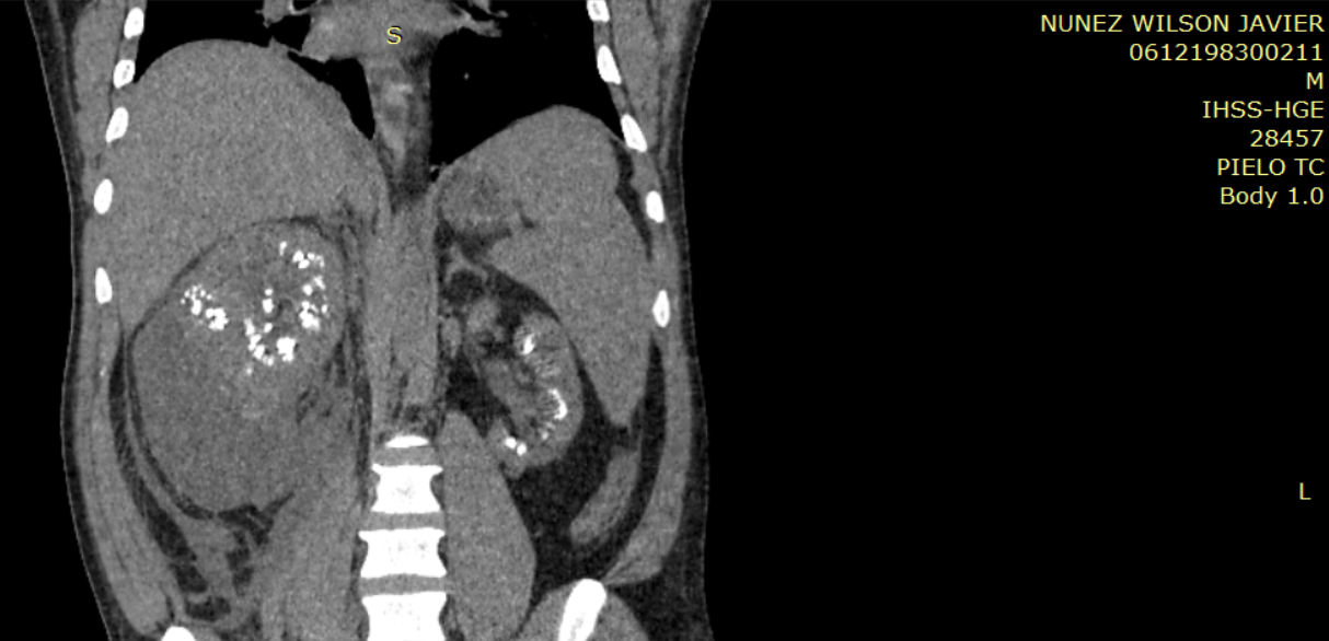
Imagen 6. Imagen de reconstrucción coronal de tomografía abdominal sin contraste (pielotomografia) donde se identifican imágenes hiperdensas en ambos riñones a nivel de pirámides renales, así mismo se observa la presencia de colección perirrenal derecha.
Ambos riñones se observan con presencia de imágenes hiperdensas en sitio anatómico de pirámides renales (valores de atenuación de hasta 1082UH) con presencia de colección perirrenal con densidad liquido (12UH) rodeando riñón derecho. Se observa estriación de la grasa en plano retroperitoneal derecho, extendiéndose hasta fosa iliaca derecha.

Imagen 7. Reconstrucción 3D de una tomografía abdominal sin contraste donde se identifica presencia de litos con densidad cálcica intrarrenales.
Presencia de Lito de grandes dimensiones en tercio medio de uréter derecho, con hidronefrosis secundaria. Atenuación (1500UH).

Imagen 8. Presencia de lito en tercio medio de uréter derecho, con dilatación retrograda del sistema colector.

Imagen 9. Presencia de lito en tercio medio de riñón izquierdo (contralateral) con dilatación retrograda del sistema colector ipsilateral.
Hallazgo que se encuentra del lado contralateral. Asociado a dilatación del sistema colector de forma bilateral.

Imagen 10. Corte axial de tomografía abdominal sin contraste mostrando la presencia de imágenes hiperdensas en pirámides renales.


Imagen 10 y 11. Muestran cortes axiales a diferentes niveles demostrando la presencia de litos en tercio medio de ambos urteres.

Imagen 12 y 13. Magnificaciones de una tomografía abdominal sin contraste Demostrando la presencia de imágenes hiperdensas, dispuestas de forma difusa en pirámides renales,con presencia de colección perirrenal derecha, aumentado de tamaño.
DISCUSIÓN
Anteriormente conocida como riñón de Anderson-Carr o calcinosis de Albright, se refiere al depósito de sales de calcio en el parénquima del riñón. Se divide en varios tipos, con diferentes etiologías, según la distribución:
nefro calcinosis medular: 95%
nefro calcinosis cortical: 5%
Nefro calcinosis cortical y medular parcial combinada: rara
La nefro calcinosis medular renal es la forma más común de nefrocalcinosis y se refiere al depósito de sales de calcio en la médula del riñón. Debido a los efectos de concentración de las asas de Henle y al entorno bioquímico de la médula, en comparación con la corteza, es 20 veces más común que la nefro calcinosis cortical. A menudo (y quizás no sea sorprendente) las mismas entidades también pueden provocar nefrolitiasis (cálculos renales) como la complicación más esperada.
Las causas mas comunes conocidas son: hiperparatiroidismo, riñón en esponja medular, acidosis tubular renal (tipo 1), hipervitaminosis D, síndrome de leche y álcalis, sarcoidosis, hipertiroidismo o hipotiroidismo , otros estados patológicos hipercalcémicos o hipercalciúricos, síndrome de Cushing, mieloma multiple, Síndrome de Bartter, metástasis óseas.
Urolitiasis
El tipo de litos que se espera encontrar en esta patología, se conoce como litos coraliformes.En este caso no se encontraron litos coraliformes.
Complicaciones de la urolitiasis
Extravasación espontánea: rotura espontánea de la pelvis renal (SRRP) +/- formación de urinóma
Infecciones recurrentes del tracto urinario (pielonefritis )
La impactación del cálculo a lo largo del uréter puede provocar hidrouréter y/o hidronefrosis.
La obstrucción crónica puede provocar daño progresivo del parénquima renal, deterioro de la función e insuficiencia renales.
Aunque es poco frecuente, la litiasis urinaria es un factor de riesgo para la metaplasia y el carcinoma escamosos (posiblemente como resultado de una inflamación local crónica y una infección)
Imagen 14. A continuación se muestra una imagen ejemplo de una reconstrucción coronal de una tomografía abdominal contrastada donde se observa la extravasación espontanea de medio de contraste secundario a la rotura espontanea de la pelvis renal.

Urinoma
Los urinóma, o colecciones de líquido urinario , son acumulaciones de orina que suelen encontrarse en el retroperitoneo , más comúnmente en el espacio perirrenal , como consecuencia de fugas del tracto renal causadas por obstrucción urinaria, traumatismo o postinstrumentación. A medida que la orina se extravasa hacia el retroperitoneo, puede causar lipólisis de la grasa circundante con la consiguiente encapsulación de la orina y formación de un urinoma.
REFERENCIAS
- Titton, R. L., Gervais, D. A., Hahn, P. F., Harisinghani, M. G., Arellano, R. S., & Mueller, P. R. (2003). Urine Leaks and Urinomas: Diagnosis and Imaging-guidedIntervention. Radiographics, 23(5), 1133-1147. https://doi.org/10.1148/rg.235035029
- Niknejad M, Ranchod A, Shah V, et al. Urinoma. Reference article, Radiopaedia.org (Accessed on 14 Aug 2024) https://doi.org/10.53347/rID-21472
Cómo citar este trabajo (Vancouver):
Garcia M, Cesar D. A PROPÓSITO DE UN CASO: URINÓMA SECUNDARIO A NEFROCALCINOSIS [resumen]. En: Vispo NS, editor. Memorias del Congreso de Investigación y Posgrado UNAH 2024: Libro de resúmenes. Madrid/Tegucigalpa: Clinical Biotec S.L.; Universidad Nacional Autónoma de Honduras; 2024. doi:10.70099/cb/unah/2024.mem
ISBN del libro: 978-84-09-76685-7