REHABILITACIÓN PROTÉSICA EN PACIENTE CON CLASE III DE SEIBERT
Angie Marcela Berrios Berrios¹, Karol Olimpia Pineda Lara1*
¹Universidad Nacional Autónoma de Honduras, Tegucigalpa, Honduras.
Autor correspondiente: Karol.pineda@unah.edu.hn
INTRODUCCIÓN
Una de las principales consecuencias de la pérdida prematura de los órganos dentarios es la disminución de estructuras de soporte, específicamente la reducción del reborde alveolar [1,2]. Seibert clasifica los defectos del reborde en tres clases, atendiendo al componente horizontal y vertical de la cresta, siendo la clase III la más agresiva por la disminución de la dimensión vestibulolingual y apicocoronal de la cresta [3]. La aparatología al someterse a cargas puede experimentar ausencia de retención, soporte y estabilidad, afectando la función, estética y el desempeño del sistema estomatognático [4,5].
El objetivo del presente trabajo es mostrar un caso sobre rehabilitación protésica en paciente con clase III de Seibert.
METODOLOGÍA
Paciente femenina de 62 años, ASA I, acude a consulta odontológica por incomodidad al masticar y sonreír.
Diagnóstico: pérdida dentaria parcial, clase I de Kennedy, defecto clase III de Seibert, ausencia total de órganos dentarios en la maxila, disminución de la Dimensión Vertical Oclusal (DVO), periodonto fino, sonrisa baja y flacidez labial.
Fase pre-protésica: Profilaxis y remoción de caries.
Fase protésica: impresión de boca y estructuras circundantes para obtener modelo anatómico, en el cual se fabrica la cubeta individual. Preparación de planos guías, previo análisis y diseño con paralelómetro. Se obtiene la impresión fisiológica empleando cubeta individual y silicona regular por adición. Se respetan las zonas protésicas y de alivio, la salud de los tejidos blandos y control del flujo salival. Ajuste de rodetes de registro oclusal restableciendo la DVO, pruebas funcionales, oclusales y estéticas con dientes en cera, instalación final protésica, finalizando con controles para evaluar la eficiencia masticatoria.
RESULTADOS
Se observó mejoría de la eficiencia masticatoria, aumentando en 3 mm la DVO, lo que permitió un resalte incisal y dio soporte a los labios. Se incorporó una sobremordida que permitió colocar el borde incisal maxilar paralelo al labio inferior, mostrando la cantidad de diente adecuada y mejorando la estética.
Se instaló una prótesis removible parcial y total sin desplazamiento al someterse a cargas masticatorias.

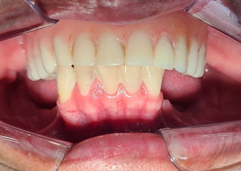
Figura 1. Paciente clase III Seibert, antes y después intraoral


Figura 2. Paciente clase III de Seibert, antes y después (extraoral).
CONCLUSIÓN
La eficiencia masticatoria y estética en pacientes con clase III de Seibert se logra mediante rehabilitación protésica removible parcial y total.
El éxito del tratamiento depende de la técnica descrita y del tipo de material utilizado.
REFERENCIAS
1. Kondo T, Kanayama K. Current perspectives of residual ridge resorption: Pathological activation of oral barrier osteoclasts. J Prosthodont Res. 2023; 67:12-22.
2. Amancha KB, Altasig LA. Pre-Prosthetic Surgery For Dental Rehabilitation. Interamerican Journal of Health Sciences. 2024; 4:93.
3. Roy A, Saravanan M. Digitalized Precision: Andrews Bridge for Prosthetic Rehabilitation in Seibert’s Class III Ridge Defect. J Interdiscip Dentistry. 2024; 14:64-69.
4. Toro M, Chaple-Gil AM. Rendimiento y fuerza masticatoria máxima funcional en pacientes con prótesis parcial removible dentomucosoportadas y dentoimplantosoportadas. Rev cubana Estomatol. 2024;61: e4917.
5. Morales NE, Pancho TL. Métodos para determinar la dimensión vertical oclusal en desdentados totales. Gac Med Est. 2024;5: e479.
Cómo citar este trabajo (Vancouver):
Berrios Berrios AM, Pineda Lara KO. REHABILITACIÓN PROTÉSICA EN PACIENTE CON CLASE III DE SEIBERT [resumen]. En: Vispo NS, editor. Memorias del Congreso de Investigación y Posgrado UNAH 2024: Libro de resúmenes. Madrid/Tegucigalpa: Clinical Biotec S.L.; Universidad Nacional Autónoma de Honduras; 2024. doi: 10.70099/cb/unah/2024.mem
ISBN del libro: 978-84-09-76685-7