RESPUESTA RADIOLÓGICA COMPLETA EN PACIENTE CON CÁNCER DE MAMA METASTÁSICO TRATADA CON TERAPIA NEOADYUVANTE
Mejía Celeste¹*, Álvarez Francisco1, Amador Alejandra1
¹Universidad Nacional Autónoma de Honduras
Correo del autor correspondiente: celeste.mejia@unah.edu.hn
INTRODUCCIÓN
El cáncer de mama es el cáncer más diagnosticado en mujeres (24%) y es la principal causa de muerte por cáncer femenino en todo el mundo. Los estudios de imagen se utilizan para el tamizaje y diagnóstico, así como también para la estadificación locorregional y la evaluación de la multifocalidad, multicentricidad y contralateralidad de la enfermedad.
METODOLOGÍA
Se presentan los hallazgos de imagen de una paciente con cáncer de mama metastásico tratada con terapia neoadyuvante, destacando el uso de diversas modalidades de imagen para la evaluación de la respuesta al tratamiento.
RESULTADOS
Paciente femenina de 53 años, con historia de retracción del pezón derecho y nódulo palpable en el cuadrante superior externo de la mama derecha de 4 meses de evolución. El diagnóstico histopatológico confirmó un carcinoma ductal invasor de tipo no específico, receptor HER2 positivo.

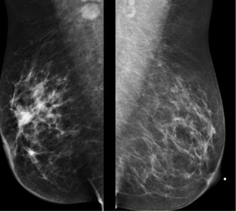
Figura 1. Mamografía: Nódulo hiperdenso, irregular, espiculado, con calcificaciones lineales finas de distribución segmentaria.
Al ultrasonido se evidenció lesión no masa, hipoecoica, hipervascular al Doppler color, con calcificaciones, localizada CSE, R9 a R12, asociado a nódulos adyacentes; al menos cuatro, también se observaron cuatro adenopatías BRN4 en nivel axilar I derecho (Fig 2.).

Figura 2. Ultrasonido: Lesión no masa, hipoecoica, hipervascular al Doppler color, con calcificaciones, localizada en CSE, R9 a R12, con nódulos adyacentes y adenopatías BRN4 en nivel axilar I derecho.
En resonancia magnética se observó lesión no masa, con realce interno heterogéneo, la cual mide 28.8 mm, asociado a cinco nódulos adyacentes con realce no masa regional heterogéneo, en una extensión de 66.8 mm con curva cinética tipo II (Fig 3.).

Figura 3. Resonancia magnética: Lesión no masa con realce interno heterogéneo, de 28.8 mm, asociada a cinco nódulos con realce no masa regional heterogéneo, en una extensión de 66.8 mm con curva cinética tipo II.
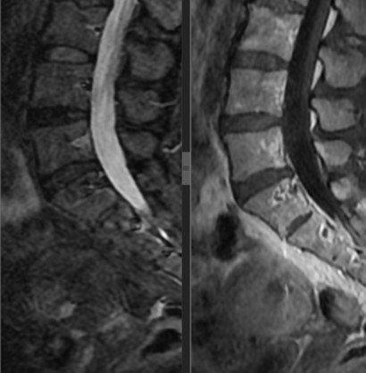
En estudios de extensión de tomografía toracoabdominal y resonancia de columna lumbosacra se observa una lesión osteolítica en cuerpo vertebral S1 (Fig 4 y 5.).

Figura 4. Tomografía toracoabdominal y resonancia de columna lumbosacra: Se observa una lesión osteolítica en el cuerpo vertebral S1.

Figura 5. Tras ocho ciclos de quimioterapia, los estudios de imagen de control evidenciaron una respuesta radiológica completa.
La paciente cumplió con ocho ciclos de quimioterapia, observando respuesta radiológica completa en sus estudios de imagen control (Fig 6 y 7.).


CONCLUSIÓN
Los estudios de imagen permiten una estadificación adecuada de la enfermedad y la evaluación post-tratamiento en pacientes con cáncer de mama, confirmando la efectividad de la terapia neoadyuvante en la reducción o eliminación de las lesiones tumorales.
REFERENCIAS
[1] Rakha E, Tozbikian G. Cáncer de mama invasivo de tipo no especial (NST). PathologyOutlines.com [Internet]. Disponible en: https://www.pathologyoutlines.com/topic/breastmalignantductalnos.html. Consultado el 19 de octubre de 2023.
[2] Selvi R, Agarwal SK, Parikh PM, Kaur K, Panwar S, Sharma S, et al. Papel de la resonancia magnética en el manejo del cáncer de mama. South Asian Journal of Cancer. 2018;069-071. Disponible en: https://doi.org/10.4103/sajc.sajc_104_18.
[3] American Cancer Society. Parámetro de práctica del ACR para la realización de mamografía de detección y diagnóstico [Internet]. 2023 [citado 26 de mayo de 2024]. Disponible en: https://acsearch.acr.org/list/PdfView?vendorID=3158166.
[4] Lee SC, Jain PA, Jethwa SC, Tripathy D, Yamashita MW. El papel del radiólogo en la estadificación del cáncer de mama: Proporcionando información clave para los clínicos [Internet]. Vol. 34, RadioGraphics. Radiological Society of North America (RSNA); 2014. p. 330-42. Disponible en: http://dx.doi.org/10.114
Cómo citar este trabajo (Vancouver):
Mejía C, Álvarez F, Amador A. RESPUESTA RADIOLÓGICA COMPLETA EN PACIENTE CON CÁNCER DE MAMA METASTÁSICO TRATADA CON TERAPIA NEOADYUVANTE [resumen]. En: Vispo NS, editor. Memorias del Congreso de Investigación y Posgrado UNAH 2024: Libro de resúmenes. Madrid/Tegucigalpa: Clinical Biotec S.L.; Universidad Nacional Autónoma de Honduras; 2024. doi: 10.70099/cb/unah/2024.mem
ISBN del libro: 978-84-09-76685-7