EFICACIA DE POLIPODIUM LEUCOTOMUS EN PACIENTES PEDIÁTRICOS CON XERODERMA PIGMENTOSO
Iris Rosbinda Álvarez-Montiel.1* María Félix Rivera.2 Nelly J Sandoval 3 Sonia Toussaint-Caire, Clariza Infante-Fernández 4
1Universidad Nacional Autónoma de Honduras (UNAH), Tegucigalpa, Honduras.
2Universidad Nacional Autónoma de Honduras (UNAH), Tegucigalpa, Honduras.
3Hospital Escuela, Tegucigalpa Honduras
4Hospital General GEA González, Ciudad de México, México
Correo del autor correspondiente: drairisderma@gmail com
INTRODUCCIÓN
El Xeroderma pigmentoso (XP), es una genodermatosis fotosensible a la radiación ultravioleta produciendo daño irreparable al ADN favoreciendo la carcinogénesis. El Polypodium leucotomos (PL) conocido como CALAGUALA disminuye la mutación del ADN, mejora la carcinogénesis e inmunosupresión al conservar las células de Langerhans, no existen estudios del uso PL en pacientes con XP. Objetivo: Evaluar la eficacia PL al comparar la incidencia de cáncer y mejorar la inmunosupresión en pacientes pediátricos con XP mediante las diferencias en la medición células de Langerhans (CD1a). Al tener estas propiedades aplicado en pacientes con xeroderma pigmentoso, comprobaremos la mejoría de la inmunomodulación y la disminución de la incidencia de cáncer cutáneo, al demostrar la eficacia en estos pacientes podría considerarse el Polipodium leucotomus como una alternativa terapéutica y preventiva.
Palabras claves: Células Langerhans, Polipodium leucotomus, Xeroderma pigmentoso.
METODOLOGÍA
Se realizó estudio prospectivo, cuasi experimental de un brazo, en 8 pacientes pediátricos con diagnóstico clínico de XP en Hospital María Especialidades Pediátricas (HMEP) Tegucigalpa, Honduras (agosto 2017 - agosto 2018). Se proporcionó PL 7.5 mg/kg en 2 dosis por 1 año y se realizaron 2 mediciones separadas de células de Langerhans (CD1a) mediante inmunohistoquimica.
RESULTADOS
El 75% de los participantes eran mujeres, clínicamente 62.5% se encontró en fase III o tumoral; las principales manifestaciones cutáneas fueron hiperpigmentación, hipopigmentación y xerosis en 100% de los pacientes; la fotofobia y conjuntivitis se presentó en 100% y 87% de los casos. Se obtuvo diferencias significativas en las mediciones de células de Langerhans antes (A) y después (B) del uso del extracto de PL, entre epidermis A con valor p 0.029 y en dermis A y B con valor p de (0.005 y 0.007) respectivamente (p<0.05). Solamente 2 pacientes reportador dolor abdominal al inicio del estudio resolviendo satisfactoriamente.
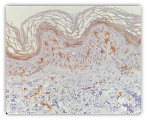
Valoración y cuantificación de células de Langerhans en Xeroderma pigmentoso


2
1
Figura 1. Inmunohistoquimica: medición de células de Langerhans antes del uso de PL.
Figura 2. Posterior al uso de PL
CONCLUSIÓN
La administración oral de PL demostró eficacia en pacientes pediátricos con XP, ya que conserva las células de Langerhans, mejora la inmunosupresión y disminuye la carcinogénesis; puede considerarse una alternativa terapéutica preventiva y paliativa.
REFERENCIAS
- Martens Marie C, Emmert Steffen and Boeckmann Lars, Xeroderma Pigmentosum: Gene Variants and Splice Variants. Genes (Basel). 2021 Aug; 12(8): 1173
- Leung Alexander, KC Leung, Barankin Benjamin, Lam Joseph M, Leong Kin F, Lun Hon K. Xeroderma pigmentosum: an updated review. DrugsContext. 2022 April 25; 11:2022-2-5.
- Dupuy Aurelie, Sarasina Alain. DNA damage and gene therapy of xeroderma pigmentosum, a human DNA repair-deficient disease. MutationResearch, 2015, 776 () 2–8
- Pinto Christopher, Nayyar Rajest, Asvita Dandamudi, Chirumamilla Avinash, Patel Prachi. Late Presentation of Xeroderma Pigmentosa with Squamous Cell Carcinoma in Septic Shock: Report of a Rare Case. Cureus. 2022 jun; 14(6): e25967
- Brambullo Tito, Colonna Michele R, VindigniVincenzo, Piaserico Stefano, Masciopinto Giuseppe, Galeano Mariarosaria, et al. Xeroderma Pigmentosum: A Genetic Condition Skin Cancer Correlated—A Systematic Review. Biomed Res Int. 2022; 2022: 8549532
- NishigoriChikako, NakanoEiji, Masaki Taro, OnoRyusuke, Takeuchi Seiji, TsujimotoMariko, et al. Characteristics of Xeroderma Pigmentosum in Japan: Lessons from Two Clinical Surveys and Measures for Patient Care. Fotoquímica y Fotobiología, 2019, 95: 140–153
- Yuan Ling, Cui Dan, Zhao Er-Jiang, Jia Chen-Zhi, Wang Li-Dong, Lu Wei-Quan. XPD Lys751. Gln polymorphism and esophageal cancer risk: a meta-analysis involving 2288 cases and 4096 controls. World J Gastroenterol. 2011 May 14;17(18):2343-8.
- YousafSajeela, Khan Mohamed I, Michael Shazia, Akhtar Farah, Ali Syeda H, RiazMoeen, et al. XRCC1 and XPD DNA repair gene polymorphisms: a potential risk factor for glaucoma in the Pakistani population. Mol Vis. 2011; 17:1153-63.
- Bhatia Neal. Polypodium leucotomos: a potential new photoprotective agent. Am J ClinDermatol. 2015; 16(2):73-9.
- Palomino Olga M. Current knowledge in Polypodium leucotomos effect on skin protection. ArchDermatol Res. 2015; 307(3):199-209.
- Rodríguez-García R, Aguilar-Ye A, Puig-Sosa PJ, Solis-Daun O, Padilla-Castillo A. Xerodermapigmentoso en dos hermanas. Rev Mex Pediatr 2002; 69(4); 151-154.
- Black Jennifer O. Xeroderma Pigmentosum. Head and Neck Pathol, 2016, 10:139–144
- Hernández Cibrián; Sutherland Nelson; Etnobotánica de los Helechos de Honduras. Ceiba, 2007. Volumen 48(1-2):1-10
- Cambar, Pablo Jose. Algunos estudios farmacológicos de las plantas medicinales en Honduras. Revista médica hondureña. – 1985, Vol. 53; 190-196
- Segars, Kelly, McCarver Victoria, Miller Richard A. Dermatologic Applications of Polypodium leucotomos: A Literature Review. J Clin AesthetDermatol. 2021 feb; 14(2): 50–60
- Middelkamp-Hup Maritza A, PathakMadhu A, Parrado Concepción, García-Caballero Tomas, Rius-Díaz Francisca, Fitzpatrick Thomas B, González Salvador. Orally administered Polypodium leucotomos extract decreases psoralen-UVA-induced phototoxicity, pigmentation, and damage of human skin. J Am Acad Dermatol. 2004;50(1):41–49.
- Del Rosso, James. Polypodium Leucotomos Extract (PLE): New Study Gives Evidence-based Insight into “Ain’t Nothing Like the Real Thing”. J Clin AesthetDermatol. 2019 agosto; 12(8): 45–46
- Middelkamp-Hup Maritza A, Pathak Madhu A, Parrado Concepcion, Goukassian David, Rius-Díaz Francisca, Mihm Martín C, et al. Oral Polypodium leucotomos extract decreases ultraviolet-induced damage of human skin. J Am Acad Dermatol. 2004;51(1):910–918
- Kohli I Indermeet, Shafi Rubina, IsedehPrescilia, Griffith James, Al-Jamal Mohammed S, Silpa-Archa Narumol. The impact of oral Polypodium leucotomos extract on ultraviolet B response: A human clinical study. J Am Acad Dermatol. 2017;77(1):33–41. e1.
- Mahamat-Saleh Y, Aune Dagfinn, Schlesinger Sabrina. 25-Hydroxyvitamin D status, vitamin D intake, and skin cancer risk: a systematic review and dose–response meta-analysis of prospective studies Sci Rep. 2020; 10: 13151.
- Halkud R, Shenoy AM, Naik SM, Chavan P, Sidappa KT, Biswas S. Xeroderma pigmentosum: clinicopathological review of the multiple oculocutaneous malignancies and complications. Indian J Surg Oncol. 2014 jun;5(2):120-4.
- Martens, M.C.; Emmert, S.; Boeckmann, L. Xeroderma Pigmentosum: Gene Variants and Splice Variants. Genes 2021, 12, 1173.
- Rodríguez-Luna A, Zamarrón A, Juarranz Á, González S. Clinical Applications of Polypodium leucotomos (Fernblock®): An Update. Life (Basel). 2023 jul 5;13(7):1513.
Cómo citar este trabajo (Vancouver):
Álvarez-Montiel IR, Rivera MF, Sandoval NJ, Toussaint-Caire S, Infante-Fernández C. EFICACIA DE POLIPODIUM LEUCOTOMUS EN PACIENTES PEDIÁTRICOS CON XERODERMA PIGMENTOSO [resumen]. En: Vispo NS, editor. Memorias del Congreso de Investigación y Posgrado UNAH 2024: Libro de resúmenes. Madrid/Tegucigalpa: Clinical Biotec S.L.; Universidad Nacional Autónoma de Honduras; 2024. doi: 10.70099/cb/unah/2024.mem
ISBN del libro: 978-84-09-76685-7