ODONTOMA COMPUESTO ERUPCIONADO: INFORME DE CASO
Fernando Mendoza1, Juan Carlos Rodríguez1, Ricardo Antonio Aguilar1, Claudinne Paz1*
1Universidad Nacional Autónoma de Hondura, Tegucigalpa, Honduras
Autor correspondiente: claudinne.paz@unah.edu.hn
INTRODUCCIÓN
La OMS considera al odontoma como el tumor odontogénico más común, consiste en un aumento de volumen de crecimiento lento, benigno, mixto, hamartomatoso, compuesto de esmalte, dentina, cemento y tejido pulpar1. Suele ser asintomático y afectar a pacientes jóvenes2.
Se clasifica en: a) compuesto y b) complejo. Además, por sus características clínicas y radiográficas se divide en tres variantes: a) centrales o intraóseos b) periféricos o extraóseos y c) erupcionados3. Con respecto al odontoma compuesto, es el tipo más común, se observa como una masa formada por dentículos y suele encontrarse en la región anterior del maxilar4. Particularmente, los odontomas compuestos erupcionados son poco común y se observan dentículos parcial o completamente erupcionados5.
El objetivo del presente trabajo es exponer un caso clínico sobre un odontoma compuesto erupcionado.
METODOLOGÍA
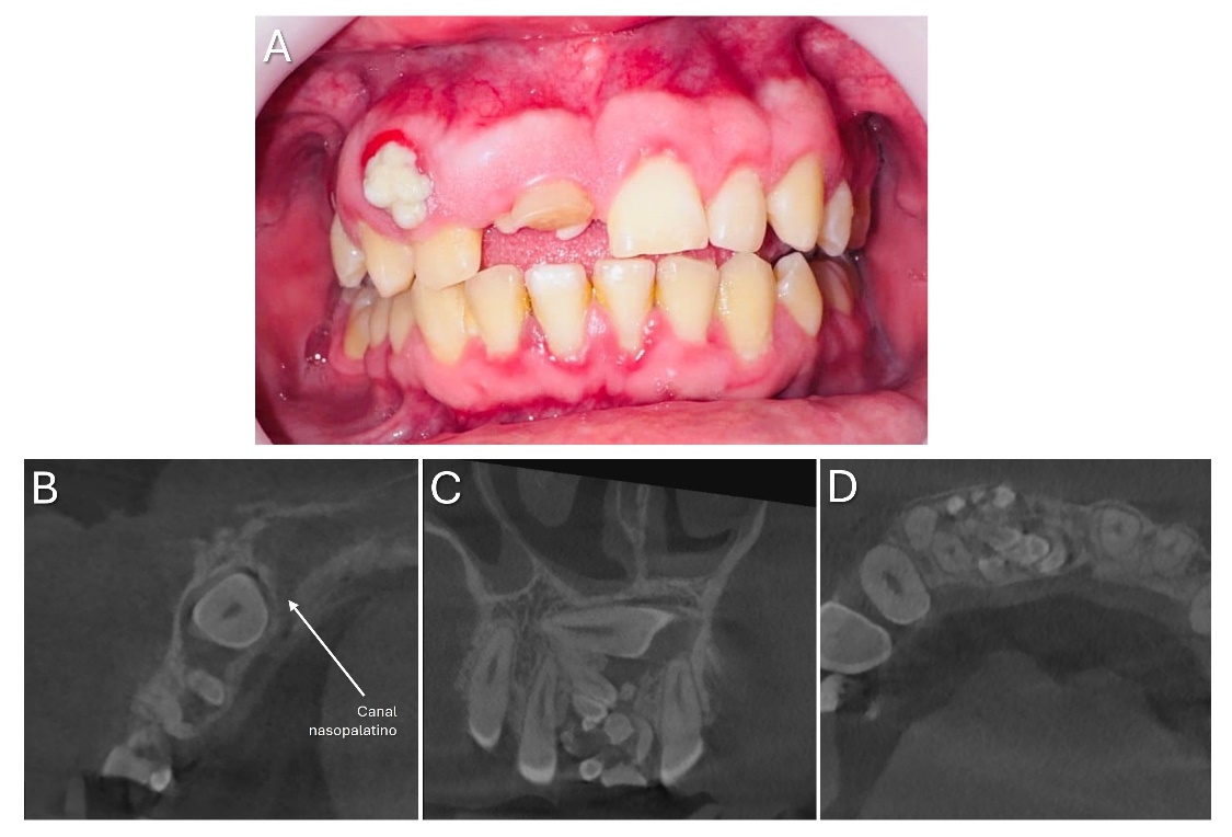
Hombre de 25 años acude al Servicio de Radiología de la Facultad de Odontología de la Universidad Nacional Autónoma de Honduras para extracción de lo que él consideraba como dientes supernumerarios de 9 años de evolución y con dolor hace 1 semana. Además, el paciente relata incomodidad estética. Clínicamente se observó un aumento de volumen en el sector anterior del maxilar de consistencia pétrea con aspecto lobulado y radiográficamente se confirma la presencia de la lesión (Figura 1).
Se determinó realizar la escisión quirúrgica de la lesión bajo anestesia local, mediante un colgajo trapezoidal de espesor total y osteotomía, se procede a liberar los dentículos y el curetaje del tejido blando circundante. Al remover la lesión se levantó aún más el colgajo para poder visualizar el incisivo central superior derecho y así poder removerlo mediante corticotomía. Seguidamente, se realizó el curetaje y preparó el xenoinjerto junto la membrana de colágeno para su colocación.
RESULTADO
El estudio histopatológico confirma el diagnóstico de Odontoma Compuesto (Figura 2).

Figura 1. En la imagen clínica (A) se observa la persistencia del diente deciduo y aumento de volumen de color blanquecino con bordes eritematosos debido al depósito de biofilm e inflamación gingival. En la imagen radiográfica (B) se observa el diente incisivo central superior derecho incluido en posición horizontal con su corona en relación a una lesión mixta rodeada por un halo hipodenso y presencia de varios dentículos.

Figura 2. Cortes histológicos en los que se observan estructuras de tejido dental que corresponde a esmalte, dentina, pulpa, áreas en desarrollo de retículo estrellado, con focos de formación que corresponden a varios dentículos resultando en el diagnóstico histopatológico de Odontoma Compuesto.
Tres meses después se realizó un seguimiento clínico y radiográfico en el que se logró observar la correcta y completa reparación de la zona.
CONCLUSIÓN
Los odontomas compuestos pueden llegar a erupcionar en la cavidad oral, aunque esta sea una característica muy poco común. El diagnóstico, pronóstico y tratamiento de esta patología debe realizarse bajo la atención de especialistas en el área de estomatología para asegurar la salud del paciente.
REFERENCIAS
1. Soluk-Tekkeşin M, Wright JM. The world health organization classification of odontogenic lesions: a summary of the changes of the 2022 (5th) edition. Turk Patoloji Derg. 2022; 38:168–184.
2. Manfredini M, Ferrario S, Creminelli L, Kuhn E, Poli PP. Compound odontoma associated with dentigerous cyst incidentally detected in an adult patient: Tomography and histological features. Case Rep Dent. 2022;16.
3. Gupta A, Vij H, Vij R, Malhotra R. An erupted compound odontoma. BMJ Case Rep. 2014.
4. Binzamil KA, Almslam AS, Baaboud AA, Altwirki AA, Alghamdi AA, Al-Omar A, et al. Management of mandibular compound odontoma with numbness in the lower jaw. Cureus. 2023;15(12):12-17.
5. Soluk-Tekkeşin M, Balkan B, Akatay DK, Atalay B. A rare case of peripheral compound odontoma and review of the literature. Head Neck Pathol. 2022; 16:913–917.
Cómo citar este trabajo (Vancouver):
Mendoza F, Rodríguez JC, Aguilar RA, Paz C. ODONTOMA COMPUESTO ERUPCIONADO: INFORME DE CASO [resumen]. En: Vispo NS, editor. Memorias del Congreso de Investigación y Posgrado UNAH 2024: Libro de resúmenes. Madrid/Tegucigalpa: Clinical Biotec S.L.; Universidad Nacional Autónoma de Honduras; 2024. doi: 10.70099/cb/unah/2024.mem
ISBN del libro: 978-84-09-76685-7