REPORTE DE CASO:
ASOCIACIÓN DEL USO CRÓNICO DE COCAÍNA Y HEMORRAGIA INTRAPARENQUIMATOSA DE FOCOS MÚLTIPLES.
Bautista Doré1, Díaz Rina1, Gómez Pedro1
1Universidad Nacional Autónoma de Honduras, Tegucigalpa, Honduras
RESUMEN
El accidente cerebro vascular asociada al consumo de alcaloides se debe tener presente dentro de las posibilidades diagnósticas especialmente en aquellos pacientes jóvenes que no refieren antecedentes patológicos personales y que además refieren el uso de alcaloides como la cocaína debido a los altos índices de consumo de alucinógenos.
Se presenta el caso de un paciente masculino de 35 años, con historia de cefalea que que niega antecedente de hipertensión arterial y como antecedente relevante refiere el consumo crónico de cocaína desde hace 2 años y negando antecedente de trauma, por lo cual se le realizó angiotomografía cerebral identificando focos múltiples de hemorragia intraparenquimatosa de ambos lóbulos frontales y datos de trombosis del seno dural.
Palabras clave: Ictus hemorrágico, cocaína y hemorragia cerebral.
ABSTRACT
Stroke associated with alkaloid use should be considered among the diagnostic possibilities, especially in young patients who do not report personal pathological history and who also report the use of alkaloids such as cocaine due to the high rates of hallucinogen use.
We present the case of a 35-year-old male patient with a history of headache who denies a history of arterial hypertension and, as a relevant history, refers to chronic cocaine use for 2 years and denies a history of trauma. Therefore, a cerebral angiotomography was performed, identifying multiple foci of intraparenchymal hemorrhage in both frontal lobes and signs of dural sinus thrombosis.
Keywords: Hemorrhagic stroke, cocaine and cerebral hemorrhage.
INTRODUCCIÓN
El consumo de drogas es una de las causas de hemorragia intraparenquimatosa en el adulto joven, siendo la cocaína la principal de estas, sin embargo, también puede estar asociado a otras causas incluyendo trauma, malformaciones vasculares, aneurismas, hipertensión arterial, tumores y coagulopatías.
Historia Clínica
Masculino de 35 años, se presenta a la emergencia del servicio de medicina interna con historia de cefalea de 2 días de evolución, pulsátil, holocraneana, progresiva, atenúa con analgésicos, sin predominio de horario, con posterior episodio convulsivo tónico-clónico de un minuto de duración, con sialorrea, relajación de esfínteres y pérdida de la consciencia. Refiere antecedente de cardiopatía isquémica por consumo de cocaína, niega traumas e hipertensión arterial.
Hallazgos de Imagen:
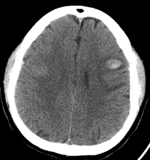
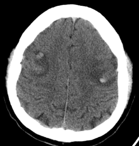
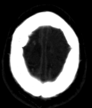
La angiotomografía cerebral evidencia la presencia de múltiples áreas hiperdensas de distribución difusa, bilateral que compromete ambos lóbulos frontales, compatibles con hemorragias intraparenquimatosas de focos múltiples, asociado a edema perilesional (Fig 1 y 2), además se identificó la presencia de signo del delta vacío secundario a trombosis venosa dural que compromete el seno sagital superior, con extensión a la confluencia de los senos, seno transverso derecho, así como el seno yugular y vena yugular ipsilateral (Fig 3 y 4).
DISCUSIÓN
La hemorragia intracerebral en el adulto joven plantea una amplia gama de posibilidades etiológicas1. La hipertensión arterial es la causa más común de hemorragia intracerebral espontánea en un 50-60% de los casos.
Las malformaciones vasculares explican un 5% de los hematomas intracerebrales. Sin embargo, son la causa más frecuente de hemorragia cerebral en el adulto joven y representan entre el 20 y 40% de los casos.
Las principales complicaciones del abuso de cocaína son la isquemia, el infarto cerebral y la hemorragia subaracnoidea e intraparenquimatosa.
FIGURA 1,2. Imágenes de angiotomografía cerebral en proyección axial y sagital, en ventana de cerebro que muestra la presencia de múltiples áreas hiperdensas en lóbulos frontales, de distribución difusa, bilateral.
FIGURA 3 y 4. angiotomografía cerebral en ventana angiográfica que evidencia en la imagen 3 la presencia del signo del delta vacío y en la figura 4 la presencia del defecto de llenado tras la aplicación del medio de contraste que compromete el seno sagital superior, compatible con trombosis del seno sagital superior.
CONCLUSIONES
Las malformaciones vasculares representan la principal causa de hemorragia intracerebral del adulto joven, sin embargo, los accidentes cerebrovasculares por abuso de drogas han aumentado paralelamente al mayor consumo y a la disponibilidad de drogas de mayor pureza, siendo la hemorragia y el infarto cerebral las principales complicaciones que se debe considerar diagnóstico diferencial de estos pacientes.
REFERENCIAS
J.E. Cohen et al., “Hematoma Cerebral Asociado a Consumo de Cocaína en el Diagnostico Diferencial del Ictus del Adulto Joven,” Revista Argentina de Neurocirugia, consulta 15 de agosto de 2024, https://aanc.org.ar/ranc/items/show/924.
Jacobs, I. G., Roszler, M. H., Kelly, J. K., Klein, M. A., & Kling, G. A. (1989). Cocaine abuse: neurovascular complications. Radiology, 170(1), 223–227. doi:10.1148/radiology.170.1.290910.
Casas Parera I, Gatto E, Fernández Pardal MM y colaboradores: Complicaciones neurológicas por abuso de cocaína, Medicina (Buenos Aires) 54: 3541, 1994.
Cregler LL, Mark H: Special report: medical complications of cocaine abuse. N Engl J Med 315: 1495, 1500, 1986.
Green RM, Kelly KM, Gabrielsen T, Levine SR, Vanderzant C: Multiple intracerebral hemorrhages after smoking "crack" cocaine, Stroke, 21: 957-962.
Cómo citar este trabajo (Vancouver):
Bautista Doré, Díaz Rina, Gómez P. REPORTE DE CASO: ASOCIACIÓN DEL USO CRÓNICO DE COCAÍNA Y HEMORRAGIA INTRAPARENQUIMATOSA DE FOCOS MÚLTIPLES [resumen]. En: Vispo NS, editor. Memorias del Congreso de Investigación y Posgrado UNAH 2024: Libro de resúmenes. Madrid/Tegucigalpa: Clinical Biotec S.L.; Universidad Nacional Autónoma de Honduras; 2024. doi: 10.70099/cb/unah/2024.mem
ISBN del libro: 978-84-09-76685-7

